Skip to content
Humanitas Salute
  • Salute A-Z
    • Apparato respiratorio
    • Allergie e asma
    • Chirurgia generale
    • Chirurgia plastica
    • Cuore e sistema cardiovascolare
    • Cure e farmaci
    • Dermatologia
    • Diabete
    • Dolore cronico
    • Endocrinologia
    • Epatologia
    • Ginecologia
    • Influenza
    • Intestino e digestione
    • Malattie infettive
    • Obesità
    • Oculistica
    • Orecchio, naso e gola
    • Ortopedia
    • Reni e urologia
    • Reumatologia e immunologia
    • Riabilitazione
    • Salute della bocca
    • Senologia
    • Sistema nervoso
    • Tumori
    Salute A-Z
  • In Salute
    • Alimentazione
    • Bambini
    • Benessere
    • Gravidanza
    • Salute dell’uomo
    • Salute della donna
    • Salute di coppia
    • Sonno
    • Sport
    In Salute
  • Le Ricette del mese
  • Benessere e Tech
  • Iscriviti alla Newsletter
  • Cerca
Prevenzione

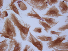
Anche le cellule hanno uno scheletro

Si chiamo citoscheletro e permette alle cellule di muoversi e di modificare la...

Magazine

La pelle al microscopio

Riveste esternamente tutto il corpo, ed è composta da tre strati principali:...

Magazine

Alla scoperta della irregolare geometria del fegato

Sarà pubblicato sul World Journal of Gastroenterology lo studio condotto in...

Sport

Alla scoperta dei tendini

Sono strutture anatomiche interposte tra il muscolo e l’osso. Costituiti...

Benessere

Il motore degli spermatozoi

Sono le cellule depositarie della fertilità maschile. Sono formati da una...

Magazine

Come si divide una cellula

Profase, metafase, anafase e telofase: sono le quattro fasi della mitosi, il...

Magazine

La tuba al microscopio

L'immagine mostra una porzione di epitelio cigliato della mucosa tubarica. Le...

Humanitas Salute

Non perderti i nostri consigli sulla salute

Registrati per ricevere la newsletter settimanale di Humanitas Salute con aggiornamenti su prevenzione, nutrizione e consigli per migliorare il tuo stile di vita.




    Scarica l’app Humanitas Con Te

    Chi siamo

    • Chi siamo
    • Contatti
    • La redazione
    • L’ospedale

    Ospedali Humanitas

    • Humanitas Research Hospital
    • Humanitas Gavazzeni
    • Humanitas Mater Domini
    • Humanitas San Pio X
    • Humanitas Cellini
    • Humanitas Gradenigo
    • Clinica Fornaca
    • Humanitas Istituto Clinico Catanese
    • Humanitas Medical Care

    Didattica, Ricerca e Assistenza

    • Humanitas University
    • Humanitas Research
    • Fondazione Humanitas per la Ricerca
    • Fondazione Humanitas
    • Fondazione Ariel
    • Cookie Policy
    • Privacy Policy

    Enciclopedia

    • Alimenti
    • Specialisti
    • Vaccini
    • Sintomi
    • Strumenti medici
    • Vitamine
    • Cookie Policy
    • Privacy Policy
    • Area Consensi Cookie

    © Copyright 2026 All rights reserved