Skip to content
Humanitas Salute
  • Salute A-Z
    • Apparato respiratorio
    • Allergie e asma
    • Chirurgia generale
    • Chirurgia plastica
    • Cuore e sistema cardiovascolare
    • Cure e farmaci
    • Dermatologia
    • Diabete
    • Dolore cronico
    • Endocrinologia
    • Epatologia
    • Ginecologia
    • Influenza
    • Intestino e digestione
    • Malattie infettive
    • Obesità
    • Oculistica
    • Orecchio, naso e gola
    • Ortopedia
    • Reni e urologia
    • Reumatologia e immunologia
    • Riabilitazione
    • Salute della bocca
    • Senologia
    • Sistema nervoso
    • Tumori
    Salute A-Z
  • In Salute
    • Alimentazione
    • Bambini
    • Benessere
    • Gravidanza
    • Salute dell’uomo
    • Salute della donna
    • Salute di coppia
    • Sonno
    • Sport
    In Salute
  • Le Ricette del mese
  • Benessere e Tech
  • Iscriviti alla Newsletter
  • Cerca
Magazine

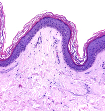
La pelle al microscopio

Riveste esternamente tutto il corpo, ed è composta da tre strati principali:...

Humanitas Salute

Non perderti i nostri consigli sulla salute

Registrati per ricevere la newsletter settimanale di Humanitas Salute con aggiornamenti su prevenzione, nutrizione e consigli per migliorare il tuo stile di vita.




    Scarica l’app Humanitas Con Te

    Chi siamo

    • Chi siamo
    • Contatti
    • La redazione
    • L’ospedale

    Ospedali Humanitas

    • Humanitas Research Hospital
    • Humanitas Gavazzeni
    • Humanitas Mater Domini
    • Humanitas San Pio X
    • Humanitas Cellini
    • Humanitas Gradenigo
    • Clinica Fornaca
    • Humanitas Istituto Clinico Catanese
    • Humanitas Medical Care

    Didattica, Ricerca e Assistenza

    • Humanitas University
    • Humanitas Research
    • Fondazione Humanitas per la Ricerca
    • Fondazione Humanitas
    • Fondazione Ariel
    • Cookie Policy
    • Privacy Policy

    Enciclopedia

    • Alimenti
    • Specialisti
    • Vaccini
    • Sintomi
    • Strumenti medici
    • Vitamine
    • Cookie Policy
    • Privacy Policy
    • Area Consensi Cookie

    © Copyright 2026 All rights reserved